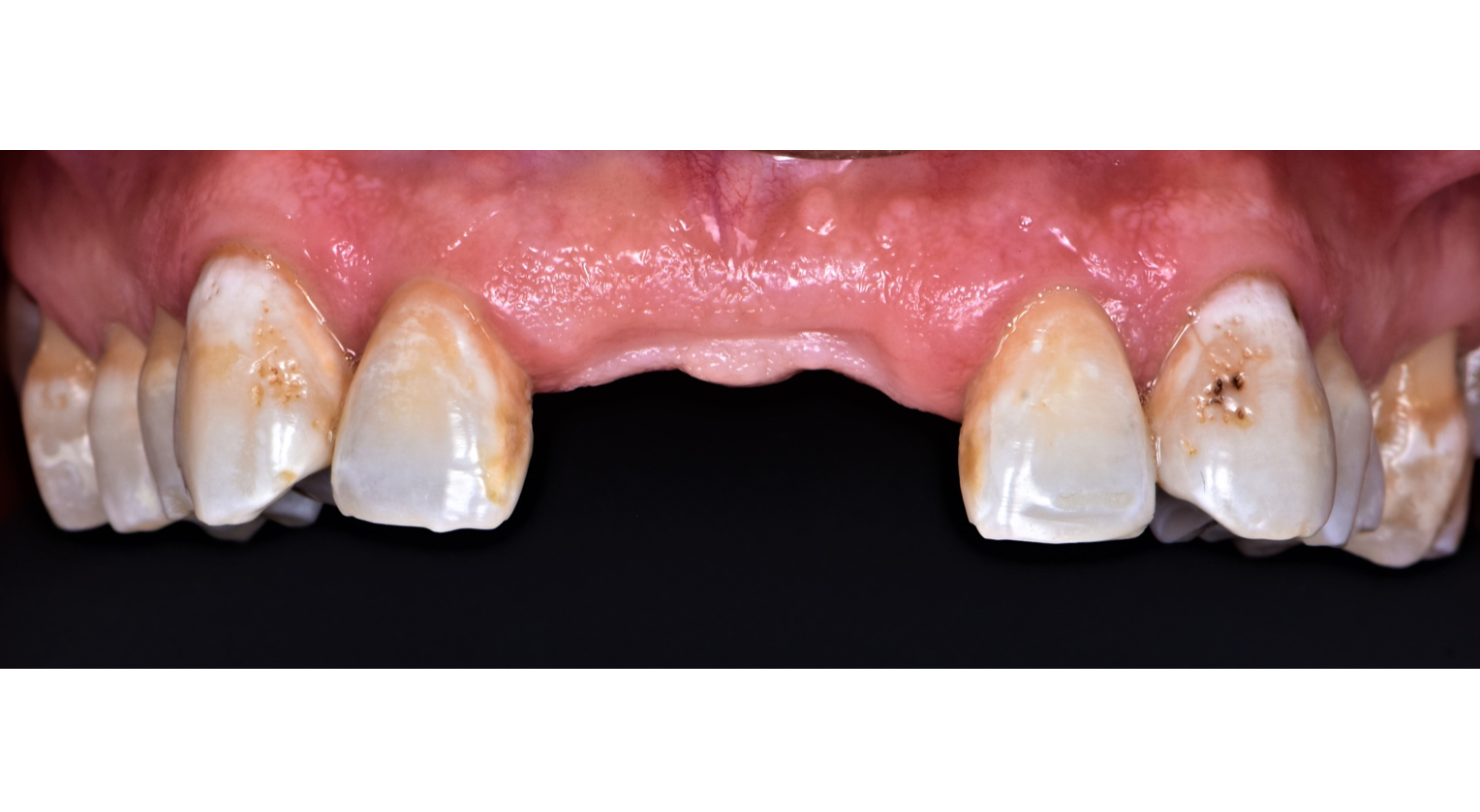
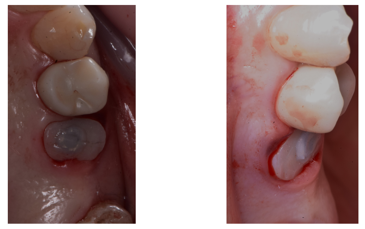
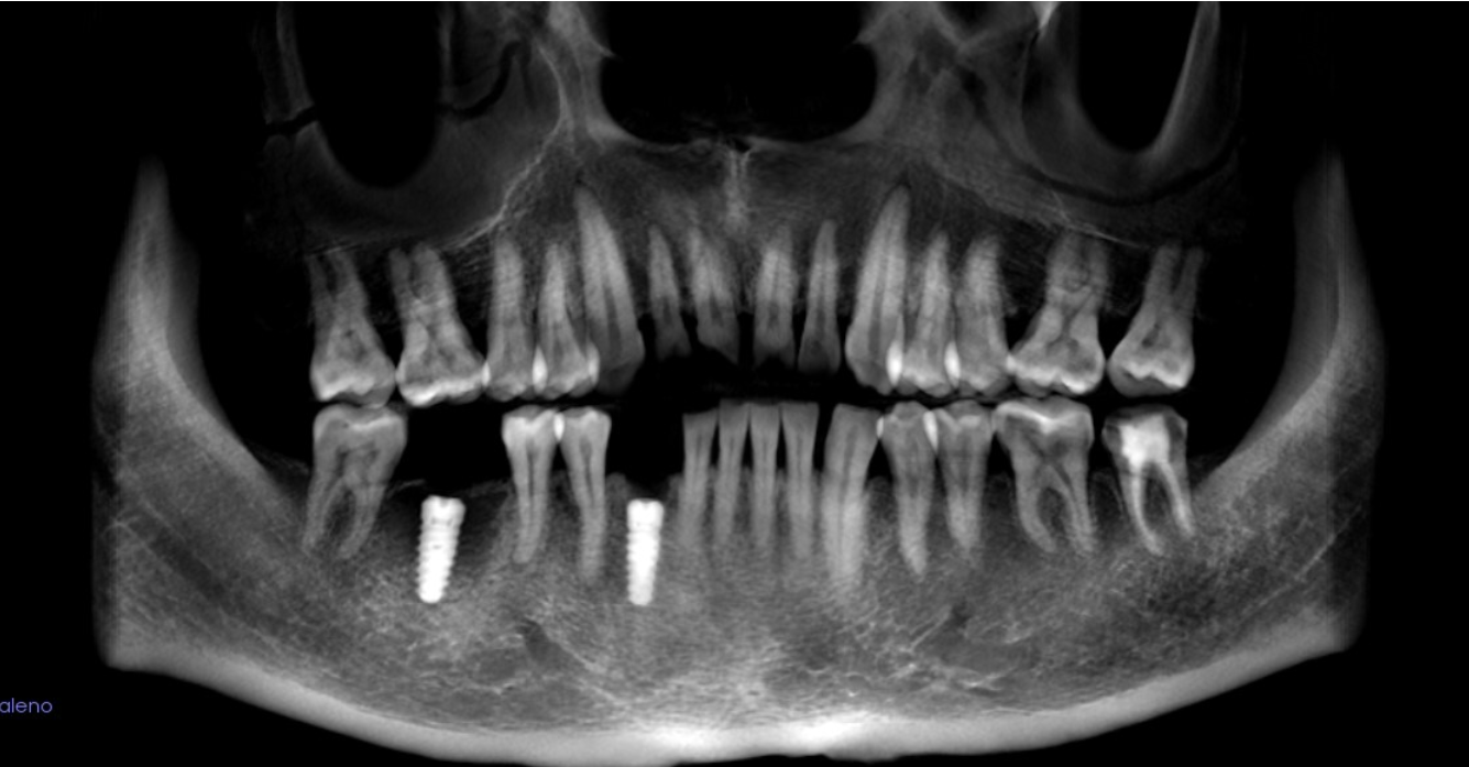
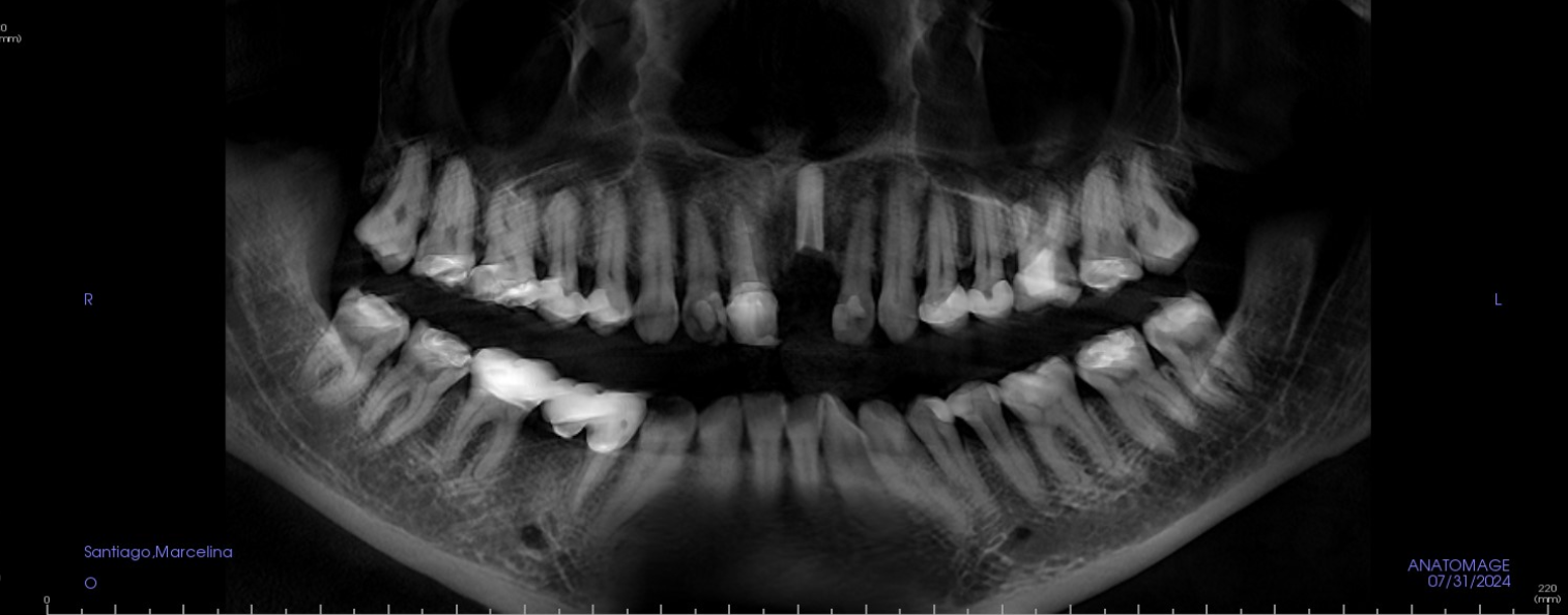
Computer Guided Surgeries on Patients
Who should attend this course?
• Novice and recent graduate doctors.
• Doctors who would like to place 8-12 implants on patients.
• Doctor who would like to take their practice to the next level.
• Doctors that are interested in learning surgical fundamentals.
• Doctors that are interested to take a live implant course in the US.
ARIZONA INQUIRY FORM
TUITION
$16,500 USD
What is included
• Military personnel and recent graduate discount available.
• Each participant will place 8 to 12 implants on patients.
• Each participant will assist their partner and observe the placement of 8/10 implants
• Lectures on 3D Digital treatment planning
• Hands-on Surgical workshop
• Digital workflow for surgery to final crowns
• Direct supervision by accredited professors
• Attending Doctors will operate on 4 patients
• 32 continuing CE hours
• Dr. Mongalo Surgical and prosthetic eTextbook
• BlueSky Bio Implant Specials
• Daily lunch specials
• Doctors from all U.S. 50 estates will obtain temporal license to operate on patients.
* Airfare, hotel and dinner are not included.
DATES
MAY 31-JUNE 3, 2026 REGISTER NOW
OCTOBER 25-28, 2026 REGISTER NOW
CLASS SIZE?
Limited to 10 U.S.-licensed dentists.
Live Implant Training does not accept wire transfers. Please contact our office for payment information: 786-249-4510
Enhance Your Skills By Working On Patients
Accreditted Professors and Oral Maxillofacial Surgeons.
Dr. Daniel Azurduy
Oral Implantologist Co-Director of LIT Digital Training

Dr. Anthony Osei
Oral Maxillofacial PHD in Epimediology
Dr. Eduardo Rodriguez
ABOI Board Certified and Co-Director of Diplomat Crediantling Course
Dr. Hamed Motlagh
Oral Implantologist. Mastership of American Academy of Implant Prosthodontics
Educational Objectives
Dr. Mongalo’s primary goal is to teach licensed dentists the importance of following a list of rules that will lead to practicing “ safety surgeries “. This important objective can be achieved by incorporating the following points:
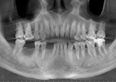
• Learn basic knowledge of mandíbular and maxillary anatomy bony topography, nerve bundles and vascularization.
• Understanding head/neck anatomy leads to recognization of “danger zones” which are anatomical areas linked to important anatomical structures where the operating doctors can cause damage to the patient. Attending doctors will learn to drill differently according to the danger zones.
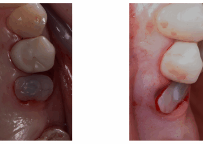
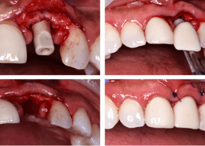
• Understanding principles in soft and hard tissue management techniques: opening full mucoperiosteal flaps, different suturing techniques, removing teeth preserving buccal bone, debriding sockets, GBR, PRF, bone expansion.
• Be exposed to Dr. Eduardo Anitua’s biological drilling protocol and use it to drill implant osteotomies. This technique is the ground for “safety drilling”. Most surgical errors can be avoided by using the biological drilling protocol.
• Learn Dr. Mongalo’s safety rules to include usage of 6mm stopper drill and take X-ray before proceeding to drill further. This step is included on Dr. Mongalo’s “safety drilling flowchart presented on chapter 1 of his recent published textbook.
• Understand bone drilling based on bone hardness D1-D4 while examining the bone collected on the drill while using the 50/50 drilling protocol. We can take Dr. Carl Misch teachings and translate them into clinical applications.
• The participants will learn to place different types of bio-engineered implants based on Carl Misch bone hardness classification.
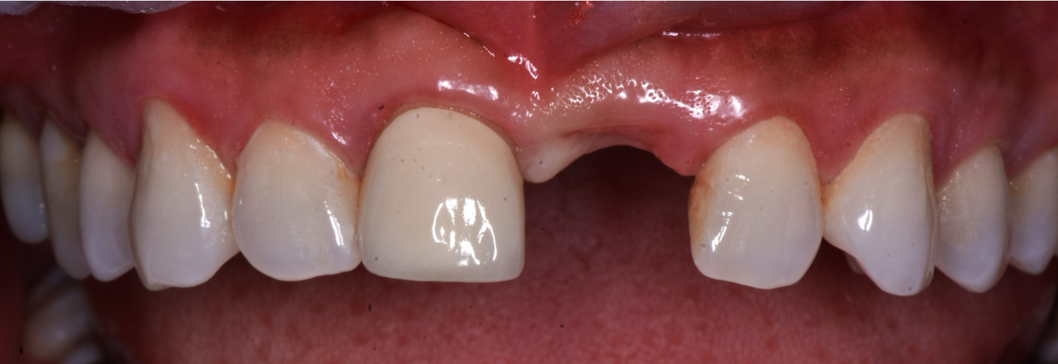
• It is imperative to understand which are the 4 common surgical errors: buccal perforations in the pre-maxilla, placing implants too close to each other, nicking roots of adjacent natural teeth, improper spacing between clinical crowns.
• Once the doctors learn these 4 common surgical errors, the next step is to learn (1). why these errors occurred (2).how can these have been prevented (3). how could these mistakes have been avoided.
• Participants will learn when these safety surgical steps are followed the surgeries will become standardized and result in safe and simple implant placements.
Why is LIT Different!
✔ Unmatched Surgical Volume in One Week
✔ Complete Surgical & Prosthetic Integration
✔ Intensive, Small-Group Mentorship
✔ Proven System Backed by Real Clinical Experience
















